整形外科
診療科の特徴
我が国では急速な高齢化社会を迎えており、脊椎・脊髄疾患や関節疾患のため、歩行などの日常生活に支障をきたしている高齢者が増加しています。当科ではこれまで脊椎と関節疾患の診療に取り組んでまいりましたが、多種の脊椎・脊髄疾患に対する迅速且つ高度な診断と治療、また人工関節置換術を中心とした関節再建を推進、発展させるために、2014年4月より当院整形外科内に脊椎・人工関節センターを設立致しました。また、当院には小児整形を専門分野とする医師も在籍しており、成人のみならず小児の患者さんの生活の機能と質を回復させることが、当センターの使命と考えております。
脊椎人工関節センターの診療状況
1.脊椎の診療状況
福山市内や近隣地域から、腰痛や頸部痛、坐骨神経痛、手足のしびれや麻痺のある脊髄脊椎疾患の大変多くの患者さんを紹介していただいています。当院では、まずレントゲン像やMRIなどの画像検査と診察による神経学的所見から疾患の状態を調べ、投薬やブロック治療など外来保存療法を第一に行います。保存療法を行っても痛みが改善しない場合や、しびれや麻痺の進行が懸念される方に対しては、一泊入院での脊髄造影検査とCTにより診断を確認し、患者さんと家族と相談しながら手術適応と術式を検討します。その際、多くの方が高齢であり、様々な基礎疾患を持つ方もおられますので、最も負担の少ない治療を行うことを目標に掲げています。

2010年では200件台であった手術件数は年ごとに増加し、2013年には300件を超え、2014年以降は400件前後に増え、昨年は413件でした。紹介患者様の増加、脊椎手術への理解の広がり、脊椎外科医の増員などにもよりますが、スポーツなどをされる活動性の高い元気な高齢者の増加が一番の要因と考えます。脊椎内視鏡手術の多くが高齢者に多い腰部脊柱管狭窄症に対して行うもので、この10年間に倍増しています。
昨年1年間の手術を術式別に分類しました。

昨年1年間の手術を術式別に分類しました。
半数以上を腰椎内視鏡手術が占め、腰部脊柱管狭窄症に対して内視鏡下筋肉温存型腰椎椎弓間除圧術(ME-MILD)を行い、腰椎椎間板ヘルニアに対して内視鏡下椎間板摘出術(MED)を行っています。件数は少ないですが局所麻酔下での経皮的内視鏡下椎間板摘出(PED)も行っています。
頸椎では頸椎症性脊髄症や頸椎後縦靭帯骨化症に対して頸椎椎弓形成術を行います。当院では片開き式椎弓形成術を行っていますが、約1時間半の比較的負担の少ない手術ですので、高齢者の方でも安定した治療成績が得られています。
腰椎すべり症や腰椎変性側弯による深刻な腰下肢痛に対しては腰椎固定術を行いますが、近年は低侵襲で行う腰椎前後固定術(OLIF)の症例が増えています。
重度の骨粗鬆症のため胸腰椎圧迫骨折が治癒せず、強い背部痛や麻痺が生じて当院へ紹介される方もたくさんおられます。症例に応じて、骨セメントやハイドロキシアパタイトを用いた椎体形成術と金属による内固定や、経皮的バルーン椎体形成術(BKP)などを行っています。また、多くの症例で骨形成促進薬(テリパラチド)を併用しています。

腰椎内視鏡手術では初期に片側進入両側除圧術を行っていましたが、徐々に応用範囲が広くより安全な現在の術式である内視鏡下筋肉温存型腰椎椎弓間除圧術(ME-MILD)に変更し、多くの方で良好な長期成績が得られています。
頸椎椎弓形成術では従来の片開き式椎弓形成術を行っていますが、平成26年から頸椎プレートを導入し、拡大椎弓の安定化を図っています。
腰椎固定術では平成19年時に主力であった腰椎後方椎体固定術(PLIF)から、筋間からの経皮的スクリュー固定(MISt)を併用した後方椎間固定(MIS-PLIFやMIS-TLIF)へ変更していますし、再手術例などで行っていた腰椎前方固定(mini ALIF)を現在は特殊な椎間ケージを用いた腰椎前後固定術(OLIF)へ変更しています。またOLIF手技を応用し、脊柱後側弯症による姿勢異常には、二期的に行う矯正固定術を2015年から開始しています。
近年増加した圧迫骨折後の偽関節症例には、経皮的バルーン椎体形成術(BKP)を行い、病態によりMIStの併用やチタン製椎体ケージを用いた前方後方再建術を行っています。その際、人工関節センターの尽力による骨バンクから、多量の同種骨移植が行えることは当院の大きな利点です。
また近年導入した超音波手術器SONOPETにより、より安全に神経周囲での骨切除が行えるようになっています。
これらの手術をより安全に行うため、術中CT像(ISO-C使用)をベースとした脊椎ナビゲーションシステムや多チャンネル脊髄モニタリングを活用しています。



1)2010年から2019年までの脊椎手術件数

2010年では200件台であった手術件数は年ごとに増加し、2013年には300件を超え、2014年以降は400件前後に増え、昨年は413件でした。紹介患者様の増加、脊椎手術への理解の広がり、脊椎外科医の増員などにもよりますが、スポーツなどをされる活動性の高い元気な高齢者の増加が一番の要因と考えます。脊椎内視鏡手術の多くが高齢者に多い腰部脊柱管狭窄症に対して行うもので、この10年間に倍増しています。
2)2019年手術症例と術式
昨年1年間の手術を術式別に分類しました。

昨年1年間の手術を術式別に分類しました。
半数以上を腰椎内視鏡手術が占め、腰部脊柱管狭窄症に対して内視鏡下筋肉温存型腰椎椎弓間除圧術(ME-MILD)を行い、腰椎椎間板ヘルニアに対して内視鏡下椎間板摘出術(MED)を行っています。件数は少ないですが局所麻酔下での経皮的内視鏡下椎間板摘出(PED)も行っています。
頸椎では頸椎症性脊髄症や頸椎後縦靭帯骨化症に対して頸椎椎弓形成術を行います。当院では片開き式椎弓形成術を行っていますが、約1時間半の比較的負担の少ない手術ですので、高齢者の方でも安定した治療成績が得られています。
腰椎すべり症や腰椎変性側弯による深刻な腰下肢痛に対しては腰椎固定術を行いますが、近年は低侵襲で行う腰椎前後固定術(OLIF)の症例が増えています。
重度の骨粗鬆症のため胸腰椎圧迫骨折が治癒せず、強い背部痛や麻痺が生じて当院へ紹介される方もたくさんおられます。症例に応じて、骨セメントやハイドロキシアパタイトを用いた椎体形成術と金属による内固定や、経皮的バルーン椎体形成術(BKP)などを行っています。また、多くの症例で骨形成促進薬(テリパラチド)を併用しています。
3)術式の変遷

腰椎内視鏡手術では初期に片側進入両側除圧術を行っていましたが、徐々に応用範囲が広くより安全な現在の術式である内視鏡下筋肉温存型腰椎椎弓間除圧術(ME-MILD)に変更し、多くの方で良好な長期成績が得られています。
頸椎椎弓形成術では従来の片開き式椎弓形成術を行っていますが、平成26年から頸椎プレートを導入し、拡大椎弓の安定化を図っています。
腰椎固定術では平成19年時に主力であった腰椎後方椎体固定術(PLIF)から、筋間からの経皮的スクリュー固定(MISt)を併用した後方椎間固定(MIS-PLIFやMIS-TLIF)へ変更していますし、再手術例などで行っていた腰椎前方固定(mini ALIF)を現在は特殊な椎間ケージを用いた腰椎前後固定術(OLIF)へ変更しています。またOLIF手技を応用し、脊柱後側弯症による姿勢異常には、二期的に行う矯正固定術を2015年から開始しています。
近年増加した圧迫骨折後の偽関節症例には、経皮的バルーン椎体形成術(BKP)を行い、病態によりMIStの併用やチタン製椎体ケージを用いた前方後方再建術を行っています。その際、人工関節センターの尽力による骨バンクから、多量の同種骨移植が行えることは当院の大きな利点です。
また近年導入した超音波手術器SONOPETにより、より安全に神経周囲での骨切除が行えるようになっています。
これらの手術をより安全に行うため、術中CT像(ISO-C使用)をベースとした脊椎ナビゲーションシステムや多チャンネル脊髄モニタリングを活用しています。



2.人工関節の診療状況

人工股関節置換術(THA)と全人工膝関節置換術(TKA)、単顆人工膝関節置換術(UKA)などを合計した総人工関節置換術の10年間の手術件数は、H19年の93件から昨年の325件と、約3.5倍に増加しました。
THAは、術後の脱臼のRiskが少ない前方系のApproachで従来より手術を行っていますが、人工関節センターが開設された年より、難治例を除くほぼ全ての症例で、筋腱切離を全く行わない所謂MIS-Approach(OCM Approach)で手術を行っています。これにより、術後疼痛が少なくなり、術後すぐに全荷重歩行可能となりました。従来4週間であったTHAの在院日数が最近は3週間に日数の短縮が可能となっています。
TKAは、術中、膝関節の屈曲、伸展時における靭帯バランスをとることが術後成績の向上に重要ですが、2種類のバランサーを駆使し、術後疼痛の少ない、安定感のある膝の獲得に努めています。また、ナビゲーションシステムを導入し、より正確に人工関節が設置できるようになりました。TKAの必要のない内側型変形性関節症(OA)に対しては、より侵襲の少ないUKAやHTO(高位脛骨骨切り術)を症例により選択しておこなっています。


MIS人工関節置換術 両側変形性股関節症術前


左人工股関節置換術術後 両側変形性膝関節症術前


両側人工膝関節置換術術後 左 高位脛骨骨切り術
中 単顆人工膝関節置換術
右 全人工膝関節置換術
3.肩関節疾患の治療状況
人口の高齢化に伴い肩関節機能の回復、疼痛除去を希望される方が増え近年肩関節疾患の治療は増加傾向にあります。
疼痛が強く挙上困難な腱板断裂に対して関節鏡下腱板縫合術(ARCR)を行っています。これにより関節切開で行う従来法と比較し低侵襲で疼痛も少なく早期機能回復が可能となりました。比較的軽微な断裂やインピンジメント症候群に対しては関節鏡下肩峰形成術(ASD)を行い早期社会復帰を目指します。
一時修復困難な腱板断裂には、症例により骨頭部を削り腱板を修復するExtra Medialization や反転型人工肩関節置換術(RSA)を行っています。反転型人工肩関節は腱板機能が失われた肩でも肩関節の機能回復が可能です。
腱板の残存した変形性肩関節症に対しては解剖型人工肩関節置換術(TSA)を行っています。当院は人工関節センターが開設されており、安全に人工肩関節手術を行うことが可能です。
難治性肩関節周囲炎(五十肩)により肩関節が固まってしまう凍結肩に対してはサイレントマニプレーションにより上肢麻酔下に徒手授動を行っています。重度の凍結肩に対しては全身麻酔下に関節鏡下関節包全周性解離を行い、肩関節機能の早期回復に努めています。


a. 解剖型人工関節 b.反転型人工関節

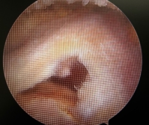
c.腱板断裂 d.鏡視下縫合後
疼痛が強く挙上困難な腱板断裂に対して関節鏡下腱板縫合術(ARCR)を行っています。これにより関節切開で行う従来法と比較し低侵襲で疼痛も少なく早期機能回復が可能となりました。比較的軽微な断裂やインピンジメント症候群に対しては関節鏡下肩峰形成術(ASD)を行い早期社会復帰を目指します。
一時修復困難な腱板断裂には、症例により骨頭部を削り腱板を修復するExtra Medialization や反転型人工肩関節置換術(RSA)を行っています。反転型人工肩関節は腱板機能が失われた肩でも肩関節の機能回復が可能です。
腱板の残存した変形性肩関節症に対しては解剖型人工肩関節置換術(TSA)を行っています。当院は人工関節センターが開設されており、安全に人工肩関節手術を行うことが可能です。
難治性肩関節周囲炎(五十肩)により肩関節が固まってしまう凍結肩に対してはサイレントマニプレーションにより上肢麻酔下に徒手授動を行っています。重度の凍結肩に対しては全身麻酔下に関節鏡下関節包全周性解離を行い、肩関節機能の早期回復に努めています。


a. 解剖型人工関節 b.反転型人工関節

c.腱板断裂 d.鏡視下縫合後
医療関係者向け専門情報
具体的な診療内容
- 心疾患や糖尿病、高血圧、脳血管疾患、悪性腫瘍などの合併症や既往歴のある患者さんでも、他科と連携することで診断、治療に向けて取り組むことが出来る。
- MRI,CT,RI,CTナビゲーションシステムなどの機器を利用して、診断と治療方針の決定、正確な手術計画が可能である。
- 患者さんの負担をなるべく少なくできるよう、低侵襲手術(MIS)に取り組んでいる。
- 脊髄モニタリングによる手術の安全性の向上が得られる。
- 手術室にバイオクリーン・ルームが2室あり、呼気排気装置の着用による周術期の感染予防に努めいている。また、感染対策委員会による病院全体の感染予防対策を行っている。
- 輸血による病気の伝染を防ぐために、輸血の必要な手術では術前、術中に自己血を貯血している。
- DVT(深部静脈血栓)やPE(肺梗塞)の予防を行っている。またこれらの合併症の診断治療は当院の循環器内科と連携して行える。
対象疾患
1)脊椎疾患: 脊椎後縦靱帯骨化症、頸椎症性脊髄症、脊柱管狭窄症、脊椎骨折、椎間板ヘルニア、脊椎・脊髄腫瘍、関節リウマチ、脊髄損傷など
2)関節疾患: 変形性股関節症、大腿骨骨頭壊死、変形性膝関節症、膝関節骨壊死、
関節リウマチ、関節炎、人工関節のゆるみ、関節外傷の後遺症など
半月板損傷、前十字靭帯損傷、後十字靭帯損傷、膝スポーツ損傷
肩腱板断裂、変形性肩関節症、腱板断裂性関節症、凍結肩、反復性肩関節脱臼
実績
治験受け入れ可能な疾患
スタッフ
甲斐 信生(かい のぶお)
役 職 診療部長(整形外科担当)
専門分野 脊椎、脊髄外科
卒業年度 平成2年
資 格
◆ 整形外科専門医
◆ 脊椎脊髄病学会指導医
◆ 認定脊椎脊髄病医
宮澤 慎一(みやざわ しんいち)
役 職 整形外科医長
専門分野 膝関節外科
卒業年度 平成11年
資 格
◆ 整形外科専門医
◆ 日本整形外科学会運動器リハビリテーション医
◆ 日本スポーツ協会公認スポーツドクター
◆ 日本人工関節学会認定医
◆ 日本リハビリテーション医学会臨床認定医
◆ 臨床研修指導医
評議員など
◆ 日本膝関節学会 評議員
◆ 日本スポーツ整形外科学会 代議員
◆ 中部日本整形外科災害外科学会 評議員
宮本 正(みやもと ただし)
役 職 整形外科医長
専門分野 人工関節 肩関節外科 関節外科
卒業年度 平成12年
資 格
◆ 整形外科専門医
◆ リバース型人工肩関節置換術認定医
◆ 臨床研修指導医
◆ 日本整形外科学会認定リウマチ医
渡邉 典行(わたなべ のりゆき)
役 職 整形外科医師
専門分野 脊椎外科
卒業年度 平成18年
資 格
◆ 整形外科専門医
◆ 認定脊椎脊髄病医
◆ 日本脊椎脊髄病学会 指導医
◆ 脊椎脊髄外科 専門医
日野 知仁(ひの ともひと)
役 職 整形外科医師
専門分野 膝関節 整形外科一般
卒業年度 平成21年
資 格
◆ 整形外科専門医
◆ 日本スポーツ協会公認スポーツドクター
古島 裕次郎(こじま ゆうじろう)
役 職 整形外科医師
専門分野 整形外科一般
卒業年度 令和3年
大石 聖明(おいいし きよあき)
役 職 整形外科医師
専門分野 整形外科一般
卒業年度 令和5年
松下 具敬(まつした ともひろ)
役 職 特別診療役
専門分野 小児整形 人工関節 関節外科
卒業年度 昭和56年
資 格
◆ 整形外科専門医
◆ リハビリテーション学会専門医
◆ リウマチ専門医
◆ 身体障害者指定医師(肢体不自由)
◆ リハビリテーション学会認定医
◆ 日本人工関節学会認定医
役 職 診療部長(整形外科担当)
専門分野 脊椎、脊髄外科
卒業年度 平成2年
資 格
◆ 整形外科専門医
◆ 脊椎脊髄病学会指導医
◆ 認定脊椎脊髄病医
宮澤 慎一(みやざわ しんいち)
役 職 整形外科医長
専門分野 膝関節外科
卒業年度 平成11年
資 格
◆ 整形外科専門医
◆ 日本整形外科学会運動器リハビリテーション医
◆ 日本スポーツ協会公認スポーツドクター
◆ 日本人工関節学会認定医
◆ 日本リハビリテーション医学会臨床認定医
◆ 臨床研修指導医
評議員など
◆ 日本膝関節学会 評議員
◆ 日本スポーツ整形外科学会 代議員
◆ 中部日本整形外科災害外科学会 評議員
宮本 正(みやもと ただし)
役 職 整形外科医長
専門分野 人工関節 肩関節外科 関節外科
卒業年度 平成12年
資 格
◆ 整形外科専門医
◆ リバース型人工肩関節置換術認定医
◆ 臨床研修指導医
◆ 日本整形外科学会認定リウマチ医
渡邉 典行(わたなべ のりゆき)
役 職 整形外科医師
専門分野 脊椎外科
卒業年度 平成18年
資 格
◆ 整形外科専門医
◆ 認定脊椎脊髄病医
◆ 日本脊椎脊髄病学会 指導医
◆ 脊椎脊髄外科 専門医
日野 知仁(ひの ともひと)
役 職 整形外科医師
専門分野 膝関節 整形外科一般
卒業年度 平成21年
資 格
◆ 整形外科専門医
◆ 日本スポーツ協会公認スポーツドクター
古島 裕次郎(こじま ゆうじろう)
役 職 整形外科医師
専門分野 整形外科一般
卒業年度 令和3年
大石 聖明(おいいし きよあき)
役 職 整形外科医師
専門分野 整形外科一般
卒業年度 令和5年
松下 具敬(まつした ともひろ)
役 職 特別診療役
専門分野 小児整形 人工関節 関節外科
卒業年度 昭和56年
資 格
◆ 整形外科専門医
◆ リハビリテーション学会専門医
◆ リウマチ専門医
◆ 身体障害者指定医師(肢体不自由)
◆ リハビリテーション学会認定医
◆ 日本人工関節学会認定医